胃肠功能紊乱起病多缓慢,临床表现以胃肠道症状为主,胃神经官能症患者多表现为:反酸、嗳气、厌食、恶心、呕吐、剑突下灼热感、食后饱胀、上腹不适或疼痛,每遇情绪变化则症状加重。肠神经官能症又称肠易激综合征,为胃肠道最常见的功能性疾病。以肠道症状为主,患者常有腹痛、腹胀、肠鸣、腹泻和便秘,左下腹痛时可扪及条索状肿物,腹痛常因进食或冷饮而加重,在排便、排气、灌肠后减轻。腹痛常伴有腹胀、排便不畅感或排便次数增加,粪便可稀可干等症状。过去称此为结肠功能紊乱、结肠痉挛、结肠过敏、痉挛性结肠炎,黏液性结肠炎、情绪性腹泻等。
在常规治疗的基础上加用或者单独使用岐黄针治疗临床疗效较好,现总结一例典型病例。
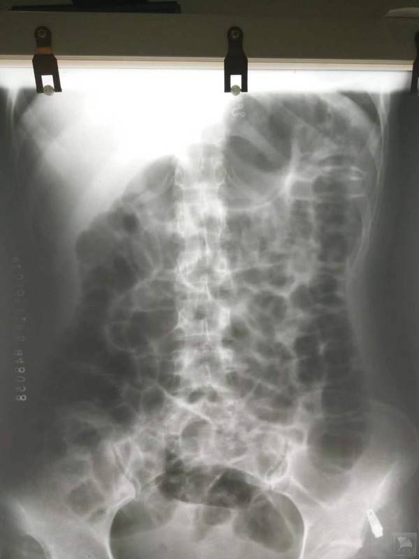
患者刘某,女,24岁,反复嗳气、腹部胀痛2月余,2月前因情绪不佳和饮食不规律出现嗳气,反酸,腹部胀痛,排气增多,症状呈进行性加重,先后服用“吗丁啉、雷尼替丁、莫沙必利”,症状仍持续加重,于2018-11-28到广东省第二人民医院就诊,行腹平片示“肠管普遍大量积气”,腹部彩超示“少量盆腔积液”,胃镜示“浅表性胃炎,HP(+)”。血常规、生化、肝肾功能、风湿11项、胃泌素、肝吸虫、大便培养扥检查未见明显异常。服用4联抗HP药物治疗2周,前3天症状缓解,后症状反复,2019-12-8因腹痛剧烈行腹部增强CT检查示:“胃肠道大量积气,少量积液,未见明显肠梗阻、气腹征象”。曾在中山附一、附三、广药附一等医院就诊,先后服用“泌特、美常安、西甲硅油、多酶片、金双歧、黛力新、左氧氟沙星片,2周健胃行气中药”等,症状时轻时重,晨起轻,下午晚上加重。2019-1-10行肠镜检查未见异常,全部停药,但症状仍时轻时重,患者起病以来,精神欠佳,食欲减退,嗳气,腹部胀痛,排气及大便次数增多,小便正常,体重减轻8斤。舌淡红,苔薄腻,脉弦细。
诊断:胃肠功能障碍
中医证型:肝郁脾虚证
治则:疏肝解郁 健脾行气
治疗:考虑患者为肝气郁结,气机阻滞致脾胃运化失调,取穴以任脉、脾胃经、膀胱经为主。
2019-2-20初诊,取肝俞、中脘、关元,岐黄针常规操作,治疗后患者自觉腹部胀痛减轻,上述穴位压痛明显减轻,辅以温针灸,配合行气解郁中药。
2019-2-22,二诊,嗳气及腹部胀痛明显减轻,自诉症状减轻约5成,取膈俞,双天枢,膈俞压痛减轻明显,辅以温针灸。
2019-2-25,三诊,症状继续缓解,无腹痛,仅有少许腹胀,嗳气明显减少。取脾俞、中脘、右水道,针后脾俞压痛明显缓解,辅以温针灸。
2019-2-27,四诊,症状缓解8成,仅有少许嗳气及腹胀。常规针刺治疗,嘱其清淡饮食,调整心情。
到此,此例患者治疗效果明显,但是3-1因饮食不适症状稍反复,3-4复诊时症状稍反复,按压膈俞、中脘疼痛较明显,岐黄针用上述穴位治疗后症状好转,3-8因情绪不佳,症状反复,复诊时取膈俞、关元治疗后症状改善。3-12、3-15各普通温针灸治疗,嘱其休养一周,3-27随访,诉无胀气,并且连续两次月经没有痛经(岐黄针治疗之前每次月经都会明显疼痛,甚至需要服用止痛药)。
按:此例患者因情绪及饮食不当而发病,治疗上以调气行气为主,患者紧张焦虑的心情和病情相互影响,多为恶性循环,岐黄针治疗疗效显著,且多是立竿见影,使患者对疾病的恐惧担心迅速减少,也可谓身心同治,同时医者适当开导患者,使其调整心情,清淡饮食,适当锻炼,以收长治久安之效。
客观检查结果:




张昆 主治医师 中山大学附属第三医院针灸科 出诊时间(周一至周五全天,除了周三下午)
Technical Support By QihuangHealthcare
www.qihuanghealthcare.cn
当前客服:小岐
QH岐黄网客服系统
发送内容不能为空
Comments(0)